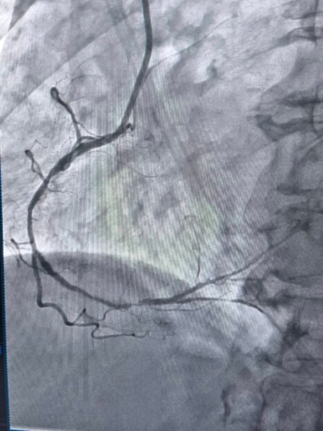
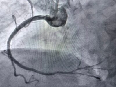
У Тернопільській обласній клінічній лікарні вперше в області провели високотехнологічну процедуру ротаційну атеректомію.
Йдеться про складне втручання, яке застосовується у випадках вираженого кальцинозу коронарних артерій, коли стандартні методи не дають результату.
За словами завідувача відділенням інтервенційної радіології, кардіології та реперфузійної терапії Богдана Маслія, у пацієнтки діагностували значне звуження правої коронарної артерії. Розширити її традиційним способом – шляхом роздування балона, не вдалося, навіть із використанням балона високого тиску до 25 атмосфер (це приблизно у десять разів більше, ніж тиск в автомобільному колесі).
У таких ситуаціях на допомогу приходить ротаблятор – спеціальний пристрій із буром, покритим діамантовим напиленням. Він дозволяє «модифікувати» кальциновану атеросклеротичну бляшку, фактично шліфуючи її та відновлюючи можливість для подальшого стентування судини. Саме таким методом лікарям вдалося ліквідувати перешкоду в артерії та успішно імплантувати стенти.
«Це втручання стало важливим кроком для нашої лікарні та всієї області. Ротаційна атеректомія застосовується у найскладніших випадках кальцинованих уражень коронарних артерій, коли стандартна ангіопластика неефективна. Виконання такої процедури означає, що пацієнти Тернопільщини можуть отримати сучасну високоспеціалізовану допомогу без необхідності їхати в інші регіони», – наголосив Богдан Маслій.
Джерело: ПЕРШИЙ онлайн





