
Оптична когерентна томографія (ОКТ) коронарних судин – це високоточний метод внутрішньосудинної візуалізації, який використовує лазерне випромінювання для візуалізації зсередини судинної стінки та структур, розташованих у просвіті коронарної артерії (внутрішньосудинні або пристінкові тромби, бранші стентів тощо).

Вперше метод був використаний для отримання зображення сітківки ока. Лазерне випромінювання від джерела подається через оптоволокно на верхівку спеціального катетера, введеного до коронарної артерії, на кінці якого знаходиться система сканування поверхні судинного сегмента.
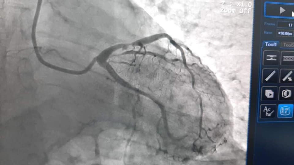
Пацієнт Нецюк А.М. поступив до лікарні з симптомами нестабільної стенокардії та був скерований кардіологами на коронарографію.

“В лівій коронарній артерії у пацієнта було виявлено атеросклеротичну бляшку з критичним звуженням, яка могла привести до розвитку інфаркту міокарду. Перед звуженням відмічалося невелике розширення, яке могло бути як тромбованою додатковою гілкою коронарної судини, так і розірваною атеросклеротичною бляшкою. Оптична когерентна томографія дозволила визначити що має місце саме розрив бляшки, що загрожує великим інфарктом. На це місце було імплантовано стент та виконано контроль якості прилягання стента до стінки судини. ОКТ показала відмінний результат стентування”, – зазначає завідувач відділенням інтервенційної радіології, кардіології та реперфузійної терапії, лікар-хірург серцево-судинний Богдан Маслій.

За його словами, дана методика ще більше дозволить покращити якість роботи відділення інтервенційної радіології, кардіології та реперфузійної терапії в обласній лікарні.
Пацієнт та колектив лікарні висловлює величезну подяку проф. Фуркалу Сергію Миколайовичу за вагомий внесок у впровадження цієї передової методики. Лікарня зробила ще один крок до світового рівня інтервенційної кардіології та радіології.
Операцію проводили бригада інтервенційних лікарів: зав. відділом інтервенційної радіології, кардіології та реперфузійної терапії, лікар-хірург серцево-судинний Маслій Богдан Ярославович, Ненашко Інна Анатоліївна та Вівчар В’ячеслав Петрович. Операційні медсестри Бакалець Надія Петрівна та Колодійчак Леся Романівна. Анестезіолог Темченюк Марія Миколаївна.
Джерело: Тижневик "Номер один"
Мітки: томографія судин серця



